
小分子OLED制造工艺
OLED 制备过程中的关键技术
1、ITO基片的清洗和预处理
2、阴极隔离柱制备
3、有机功能薄膜和金属电极的制备
4、彩色化技术
5、封装技术


一、基片的清洗和预处理
OLED对ITO的要求
表面洁净;表面平整;功函数较高。
有机层与ITO之间界面对发光性能的影响至关重要,ITO玻璃在使用前必须仔细清洗,目的是除去表面上物理附着的污物和化学附着的有机物等。
污染物通常分为四类:
有形颗粒,如尘埃;
有机物质,如油脂和涂料;
无机物质,如碱、盐和锈斑;
微生物机体
清除基片表面污染物的方法:
化学清洗法、超生波清洗法、真空烘烤法及离子轰击法
ITO基板清洗:
化学清洗法
清洗剂:乙醇、丙酮、氯仿、四氯化碳等。
作用:去除油、润滑脂、脂肪及其它有机污染物。
超声波清洗
作用:去除不溶性污物。
真空烘烤法
方法:在真空室(真空度为10-4Pa)中,将基片加热至200℃。
作用:去除基片表面吸附的气体和杂质。
超声波清洗法
超声波清洗是利用超声波技术,使水和溶剂发生振动,清洗表面复杂的附着物而且不损伤基片的一种清洗方法。目前,超声波清洗广泛应用于OLED器件制作的前清洗工艺当中。
超声波的基本原理是空化作用:存在于液体内的微气泡(空化核)在声场的作用下振动,在声压达到一定值时,气泡迅速增大然后突然闭合,在气泡闭合时产生激波,在其周围产生上千个大气压,破坏不溶性污染物而使它们分散于溶液中,使表面得以净化。
一般超声波清洗所使用的频率为15~50KHz(例如28KHz、38KHz),适合于基板附着有机物的清洗。采用高频率(1MHz以上)的超声波清洗主要是为了清洗亚微米(0.1μm)以下的污染物。
原理:
由超声波发生器发出的高频振荡信号,通过换能器转换成高频机械振荡而传播到介质,使液体流动而产生数以万计的微小气泡,存在于液体中的微小气泡(空化气泡)在声场的作用下振动,当声压达到一定值时,气泡迅速增长,然后突然闭合,在气泡闭合时产生冲击波,在其周围产生上千个大气压力,破坏不溶性污物而使它们分散于清洗液中,当粒子被油污裹着而粘附在清洗件表面时,油被乳化,固体粒子即脱离,从而达到清洗件表面净化的目的
紫外光清洗法
紫外光(UV)清洗的工作原理是利用紫外光对有机物质所起的光敏氧化作用以达到清洗粘附在物体表面上的有机化合物的目的。
紫外光清洗一方面能够避免由于使用有机溶剂造成的污染,同时能够将清洗过程缩短。在实际应用中,通常是利用一种能产生两种波长紫外光的低压水银灯(这种紫外光灯能够产生波长为254nm和波长为185nm的紫外光 )。

ITO表面处理工艺
目的:
ITO的不均匀性将导致有机层不均匀,从而易形成局部强电场引起OLED中黑斑的产生。平整的ITO表面场强均匀,减小短路的危险,提高OLED的稳定性。早在1987年,邓青云就指出,在沉积有机层之前,ITO表面必须进行仔细的清洗,否则不能得到稳定的OLED器件。

ITO 基片处理 ITO For OLED
ITO膜表面形态对OLED器件的性能
粗糙的ITO膜表面将使光线产生漫反射,减小出射光效率,降低OLED的外量子效率。
OLED加电压时,粗糙表面会影响OLED的内电场分布。ITO表面的尖峰将导致局部高电场,高电场将使激子解离成为正负载流子,致使发光强度降低;而且高电场将加速有机材料的恶化,以至降低OLED的稳定性。
ITO膜是有机物膜进行淀积的基底, ITO膜的表面形态将影响有机膜的成膜的吸附性、内应力和结晶度。由于粗糙的表面将不利于有机分子之间内聚形成晶体,因而粗糙的表面易于形成不定形结构的有机物薄膜。对于不定形结构的有机物来说,结晶有机物的出现将增加电子与晶格碰撞的可能性,这将降低OLED器件的发光效率和能量效率。
常用的ITO薄膜表面预处理方法:
化学方法(酸碱处理)和物理方法(O2等离子体处理、惰性气体溅射)
酸碱处理
固体表面的结构和组成都与内部不同,处于表面的原子或离子表现为配位上的不饱和性,这是由于形成固体表面时被切断的化学键造成的。
正是由于这一原因,固体表面极易吸附外来原子,使表面产生污染。因环境空气中存在大量水份,所以水是固体表面最常见的污染物。
由于金属氧化物表面被切断的化学键为离子键或强极性键,易与极性很强的水分子结合,因此,绝大多数金属氧化物的清洁表面,都是被水吸附污染了的。
在多数情况下,水在金属氧化物表面最终解离吸附生成OH-及H+,其吸附中心分别为表面金属离子以及氧离子。
根据酸碱理论,M+是酸中心,O-是碱中心,此时水解离吸附是在一对酸碱中心进行的。
在对ITO表面的水进行解离之后,再使用酸碱处理ITO金属氧化物表面时,酸中的H+、碱中的OH-分别被碱中心和酸中心吸附,形成一层偶极层,因而改变了ITO表面的功函数。
等离子体处理
等离子体的作用通常是改变表面粗糙度和提高功函数。研究发现,等离子作用对表面粗糙度的影响不大,只能使ITO的均方根粗糙度从1.8nm降到1.6nm,但对功函数的影响却较大。
用等离子体处理提高功函数的方法也不尽相同。氧等离子处理是通过补充ITO表面的氧空位来提高表面氧含量的。
二、阴极隔离柱技术
为了实现无源矩阵OLED的高分辨率和彩色化,更好地解决阴极模板分辨率低和器件成品率低等问题,人们在研究中引入了阴极隔离柱结构。即在器件制备中不使用金属模板,而是在蒸镀有机薄膜和金属阴极之前,在基板上制作绝缘的间壁,最终实现将器件的不同像素隔开,实现像素阵列。

在隔离柱制备中,广泛采用了绝缘的无机材料(如氮化硅,碳化硅、氧化硅)、有机聚合物材料(如PI、聚四氟乙烯等)和光刻胶等材料。
隔离柱的形状是隔离效果关键,绝缘缓冲层来解决同一像素间的短路问题,同时使用倒立梯形的隔离柱来解决相邻像素间的短路问题。

隔离柱的基本制作方法
1、在透明基片上旋涂第一层光敏有机绝缘材料,厚度为0.5~5μm,一般为光敏型PI、前烘后曝光,曝光图形为网状结构或条状结构,线条的宽度由显示分辨率即像素之间间隔决定,显影后线宽为10~50μm,然后进行后烘。
2、在有机绝缘材料上旋涂第二层光敏型有机绝缘材料,膜厚为0.5~5μm ,一般为光刻后线条横截面能形成上大下小倒梯形形状的光刻胶中的一种,一般为负型光刻胶,前烘后对第二层有机绝缘体材料进行曝光,曝光图形为直线条,显影后的线宽为5~45μm。
三、有机薄膜或金属电极的制备
小分子OLED器件通常采用真空蒸镀法制备有机薄膜和金属电极
有机薄膜的制备工艺步骤:

小分子OLED器件通常采用真空蒸镀法制备有机薄膜和金属电极,其具体操作过程是在真空中加热蒸发容器中待形成薄膜的原材料,使其原子或分子从表面气化逸出,形成蒸汽流,入射到固体衬底或基片的表面形成固态薄膜。
该过程如果真空度太低,有机分子将与大量空气分子碰撞,使膜层受到严重污染,甚至被氧化烧毁;此条件下沉积的金属往往没有光泽,表面粗糙,得不到均匀连续的薄膜。
有机薄膜的制备

四、彩色化技术
小分子OLED全彩色显示技术方面,实现彩色化的方法有光色转换法、彩色滤光薄膜法、独立发光材料法等。
三色发光层法(独立发光材料法)

这是最常使用的技术,就是将三种发光层排列在一起,加入不同的偏压产生全彩的效果,此技术重点在于发光材料光色纯度与效率的掌握。以小分子有机发光二极管技术而言,所面临的重大问题就是红色材料的纯度、效率与寿命,而大分子有机发光二极管方面,则是在于红、绿、蓝三原色定位等问题
彩色OLED制造技术

白色+彩色滤光片法
此法是将三种发光层叠在一起,使红、绿、蓝混色产生白光,或是互补色产生白光。此全彩化技术最大的优点是可以直接应用液晶显示器现有的彩色滤光片技术,但是元件发光时必须多经过一层彩色滤光片,导致亮度衰减,因此在透光率与成本上必须再深入研究。

色转换法(光色转换法)
就是在蓝色发光层中加入能量转移的中心,使短波长、能量较大的蓝光以能量转移方式,转换成其他颜色的光,因此在材料的选择与技术开发上比较容易,只须先产生一个发光效率、色纯度极佳的蓝光,否则经过能量转换后,整体的发光效率会很差。

首先制备发白光或近于白光的器件,然后通过微腔共振结构的调谐,得到不同波长的单色光,然后再获得彩色显示。

采用堆叠结构
将采用透明电极的红、绿、蓝发光器件纵向堆叠,从而实现彩色显示。

五、OLED的封装技术
对水和氧极为敏感,因此封装技术直接影响器件的稳定性和寿命。
封装技术主要有3种技术:
金属盖封装、玻璃基片封装,薄膜封装。
吸水材料
OLED器件对氧气的透过率要求很严格。
水气来源有两种:
1、经由外在环境渗透进入器件内;
2、在OLED工艺中被每一层物质吸收的水汽
为了减少水汽进入组件或排除由工艺中吸附的水汽,一般最常用的物质为吸水材料,干燥剂和干燥片通过贴附在封装玻璃基片的内侧以吸附器件内部的水分。
封装工艺流程

水氧浓度控制和封装压合
OLED器件封装过程中水氧浓度要达到一定的标准,必须在水氧浓度很低的情况下完成。水氧浓度控制是通过N2循环精制设备完成的。在压合过程中,要控制UV固化胶的高度和宽度,使封装腔室内的压力合适,以避免封装后器件产生气泡的现象。
POLED的制备工艺
旋涂法
将材料溶解在有机溶剂中,滴加在基板上,甩胶,蒸镀电极。简单,膜层均匀无针孔,易于大面积器件
喷涂(int-jet)
喷墨方式制作三基色象元,易于实现彩色和全色显示工艺简单
浸取法
印刷法



器件的封装
器件的有机材料和金属电极遇到水汽和氧气发生氧化、晶化等物理化学变化,从而失效,必须封装、环氧树脂对器件封装,添加分子筛吸湿等。
OLED的工作特性
发光颜色
有机和聚合物发光颜色的特点:
发光颜色覆盖从紫外到红外整个波段。只要改变发色团的化学结构或发色团上取代基种类和位置,就可实施颜色调控;
色纯差,有机和聚合物的吸收光谱和发射光谱一般都是宽带光谱,谱峰的半高宽度大约在100~200nm之间,这是有机分子的振动能级与电子能级互相叠加的结果。相对于无机发光材料,色纯度要差的多;
形成基激复合物和发生能量转移。
OLED器件的效率
内量子效率:激子复合产生的光子数 / 注入的的电子空穴对数
外量子效率:射出器件的光子数 / 注入的的电子空穴对数
从OLED的工作过程可以得到其外量子效率可以表示为

影响OLED发光效率的主要因素:
取决于电荷的平衡注入,为提高OLED的量子效率,由阳极注入有机发光体的空穴数应和阴极注入的电子数相等。
载流子迁移率。载流子从注入到复合有一个沿电场方向的迁移扩散过程,为了提高形成激子的效率 ,正负载流子的迁移率都应该较大,并且两者相差较小。
激子辐射衰减效率。有机发光材料的ph可以达到80%~100%,而聚合物发光材料的ph一般在达到20%左右。
单态激子形成概率。在通常情况下,电子被空穴束缚,每产生一个单重态激子同时产生3个三重态激子,因此即使注入到器件的电子全部被空穴束缚,且全部的单态激子均辐射产生光子,25%将是OLED的极限量子效率。由于三重态激子的跃迁受量子自旋守恒定律的限制,不能发光,75%的激子白白被热耗掉。
能量转移。当两种发色团并存时一种发色团的激发态可以将能量传递给另一种发色团使之激发。对于前一种激子,这是“淬灭”;对于后一种发色团,这是额外的激发,因而使发光效率大幅度提高。
提高发光效率的措施:
1、选择合适电极和有机层材料,提高载流子注入效率和均衡程度。
2、采用薄膜结构和载流子传输层提高两种载流子的迁移率,并且使两者相差较小。
3、改善器件的界面特性,提高器件的量子效率。
4、利用能量转移提高发光效率。
5、开发三线态电致发光材料。
寿命和失效机制
测量元件寿命的方法,是在元件维持一恒定电流的条件下,测量从初始亮度下降至一半亮度的时间。
对寿命进行比较的最佳参量是亮度和半亮度寿命的乘积。据报道,该量值对使用寿命最长的器件是:绿光为7000000 hr·cd/m2;蓝光为300000 hr·cd/m2;红橙色为1600000 hr·cd/m2。
OLEDs失效的表现形式:
1、恒定电流工作条件下,亮度、效率逐渐下降。
2、OLEDs在一定湿度、温度的大气环境中存放一定时间,发光亮度、效率衰减直至发光消失。这一过程体现出的是OLEDs的存贮寿命。
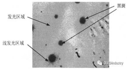
3、不管是存贮,还是工作,所有失效的OLED都出现大量的不发光区域——黑斑。

OLED失效机制
短路现象
由于有机薄膜不均匀致密,从而有贯穿有机层的微型导电通道形成。
黑斑的形成
1、热效应——有机薄层的热不稳定性导致了黑点的形成;
2、有机聚合物材料的化学不稳定性——有机分子易受到氧和水的侵蚀,丧失发光能力;
3、金属阴极的不稳定性——金属阴极被氧化;
4、金属阴极有机层界面处化学反应——水、氧和铝三者所发生的电化学反应会释放出微量气体,造成金属阴极从有机层剥离开来。
杂质的影响
杂质是捕获载流子和激子非辐射衰减(生热)的中心,又可以引起内部电场的局部畸变,因而是器件老化和蜕变得重要原因。

元件的衰变
有机材料元件衰变可分为三种:
1、热衰变。Tg可以作为其热稳定性的依据。Tg低的材料在室温下容易结晶。
2、光化学衰变。有些有机材料,在光照射下不稳定,发生了光化学反应。
3、界面的不稳定。OLED器件中有三种界面:ITO/有机层;有机层/有机层;金属/有机层。有些有机材料在其它有机材料或无机材料上的粘附性能很差。
无机材料元件衰变可分为两种:
1、 ITO的表面污染。器件中的ITO表面必须没有有机杂质。表面遗留物会导致工作电压升高,效率和使用寿命降低。
2、阴极的腐蚀。阴极腐蚀是最常见的导致器件衰变的原因。如果封装得不好器件就会出现被氧化的黑点。
3、寿命和失效机制
解决OLED器件的寿命和稳定性问题的调控环节
ITO薄膜质量和清洗方法的控制
1、 ITO玻璃的选择
阳极界面漏电流和器件串绕等现象与ITO薄膜的质量密切相关,直接影响器件的寿命和稳定性,必须严格控制ITO薄膜的质量。其中有ITO薄膜的平整度,结晶性,择优取向特性,晶粒大小,晶界特性,表层碳和氧含量以及能级大小等。
2、ITO辅助电极的制备
当制备商分辨显示屏时,ITO线条过细,需要加入金属辅助电极,加入金属辅助电极可以使电阻降低,易于进行驱动电路的连接,发光区均匀性和稳定性提高。
在制备辅助电极时,要考虑方阻大小、光透过率、界面结合特性、图案刻蚀特性等。
3、ITO的清洗工艺
ITO表面的污染物直接影响器件的效率,寿命和稳定性。ITO刻蚀溶液的PH值,清洗和烘干的时间和温度,UV清洗和等离子体清洗的参数等工艺要进行系统的优化。
隔离柱制备条件
隔离柱制备过程中光刻胶、清洗液、漂洗条件、烘干温度和时间等对ITO和器件寿命影H向较大,优化隔离柱制备条件是提高器件产品的稳定性和寿命的关键。
稳定性OLED材料的选择
目前气温度较低的空穴传输材料是一个关键因素。电子传输材料的电子迁移率较低造成了无效复合,这些都直接和间接地影响了器件的寿命。掺杂材料的选择可以有效提高器件的效率和寿命。
器件结构的优化
器件各层材料的能级匹配、各层厚度、速率的控制、掺杂浓度的控制,特别是阴极材料LiF厚度和速率的精确控制和优化等工作必须系统地进行优化。
封装条件的优化
1、蒸镀等环境温湿度和洁净度的控制。
2、预封装多层膜的制备。试验结果表明,有机无机多层膜预封裟结构器件老化黑点较少,稳定性和寿命得到了提高。
3、封装干燥剂。加入封装干燥剂有两种方法:
①在封装玻璃上蒸镀Ca0和Ba0干燥剂薄膜;
②在封装玻璃上粘贴Ca0和Ba0干燥剂。
这两种方法对提高器件的寿命和稳定性是非常有效的。
4、封装胶及其封装方法和封装气氛的选择。封装胶和UV封装能量和温度时间直接影响器件的寿命和稳定性,因此必须对封装胶和封装条件进行优化。氮气、氩气等不同封装气氛对器件的寿命和稳定性有较大的影响。目前封装技术是控制器件寿命和稳定性的关键。
连接条件
连接处的均匀性和接触电阻的大小影响器件发光均匀性和器件寿命,优化连接材料,加热温度和连接时间等条件对提高器件的稳定性和寿命是有益的。
驱动电路
无源器件的串绕,反向电流和尖脉冲等现象严重影响器件的稳定性和寿命,研究脉冲宽度、占空比、反向电流、抑制电压、电路功耗和屏功耗,恒压方法和恒流方法等对寿命的影响,优化驱动电路是提高器件寿命和稳定性的方法之一。